Reduciendo la Brecha en Radiología: Xeon acelera el tratamiento contra el cáncer en medio de la escasez de personal
Durante Intel Vision, Siemens Healthineers demuestra cómo la inteligencia artificial en imágenes médicas aporta precisión y velocidad al tratamiento del cáncer.
La atención médica se encuentra en un punto de inflexión crítico. La población está envejeciendo: las personas viven más tiempo, nacen menos bebés y una generación numerosa entra en la vejez. A medida que la edad promedio aumenta y las pruebas de detección de cáncer mejoran, también crecen las tasas de diagnóstico de esta enfermedad.
Si a eso sumamos una escasez masiva de técnicos en radiología —con una tasa de vacantes del 18,1 % frente al 6,2 % en 2021, según la Sociedad Americana de Tecnólogos Radiológicos—, se genera una tormenta perfecta: diagnósticos tardíos, tratamientos más largos, mayor riesgo de progresión del cáncer y un incremento en la ansiedad de los pacientes.
Kit de prensa del evento: Intel Vision 2025
La inteligencia artificial (IA) se está convirtiendo rápidamente en una solución para aliviar la carga de trabajo de los radiólogos y acelerar el tratamiento de los pacientes. Gracias a los procesadores Intel® Xeon® Scalable, Siemens Healthineers utiliza IA para detectar anomalías con mayor precisión, permitiendo diagnósticos más rápidos e inicio temprano de tratamientos dirigidos.
La IA acelera los tratamientos
Uno de los principales clientes de Intel en el sector salud, Siemens Healthineers, es una empresa global de tecnología médica centrada en llevar innovación tanto a profesionales de la salud como a pacientes. En el evento Intel Vision, Siemens Healthineers presentó su software AI-Rad Companion, impulsado por procesadores Intel Xeon Scalable optimizados para IA en el edge.
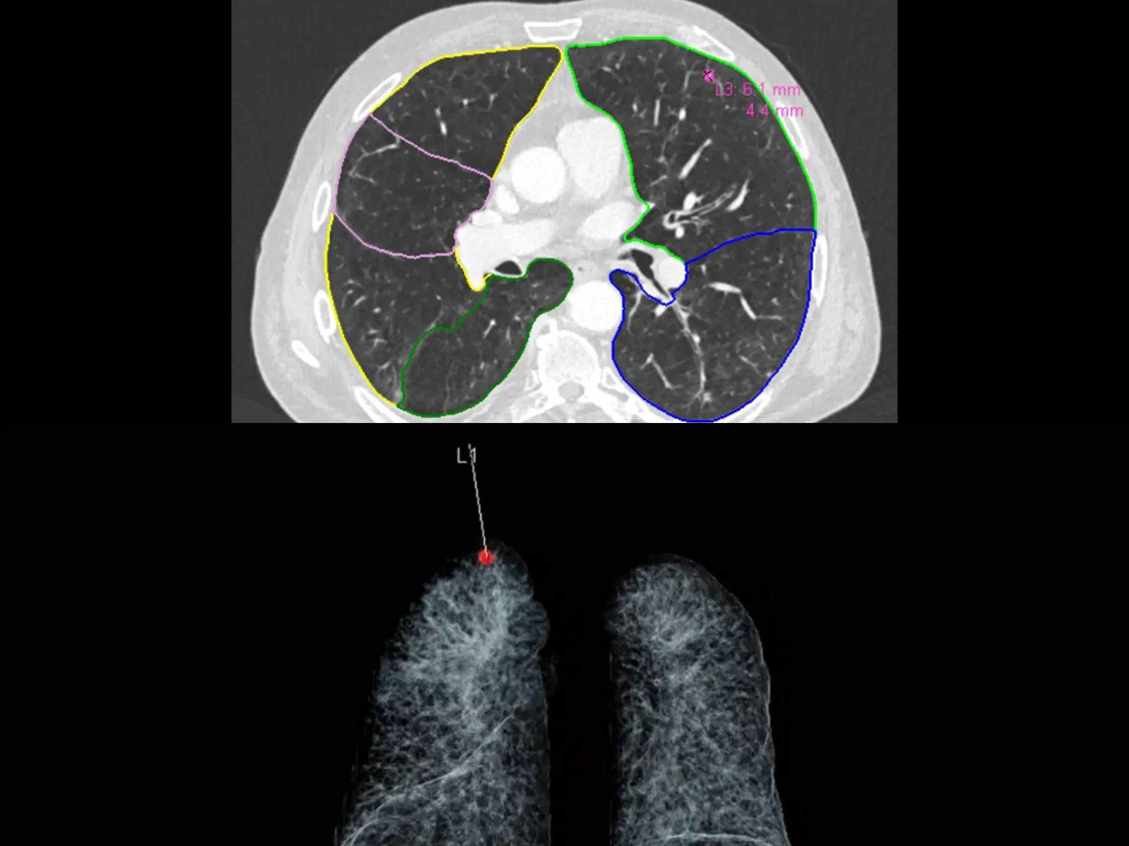
AI-Rad Companion es un conjunto de algoritmos de inteligencia artificial que ayuda a los médicos a acelerar el diagnóstico y la planificación terapéutica. A partir de un escaneo por tomografía (CT) o resonancia magnética (MRI), el sistema segmenta instantáneamente las estructuras anatómicas y distingue las células cancerosas para que sean objetivo de radiación, preservando los tejidos sanos.
“Segmentar manualmente estas estructuras anatómicas puede tomar horas o incluso días. Ahora con AI-Rad Companion, esto se hace en segundos.”, explicó Peter Shen, director de Digitalización y Automatización en Siemens Healthineers. “El impacto es enorme: los pacientes que esperan con ansiedad para iniciar su tratamiento de radioterapia ya no tienen que esperar días o semanas. Los planes de radiación se pueden diseñar casi de inmediato.”
Potenciando el diagnóstico con OpenVINO
Mediante el uso de OpenVINO™, el toolkit de código abierto de Intel para acelerar inferencias de IA, AI-Rad Companion puede identificar órganos y datos anatómicos. Esto le permite reconocer incluso las anomalías más pequeñas y alertar al médico sobre su ubicación y naturaleza.
Este sistema puede asistir en diagnósticos de enfermedades en pulmones, cerebro, próstata y trastornos neurodegenerativos como el Alzheimer. Al acelerar la planificación del tratamiento, contribuye a reducir los costos médicos.
AI-Rad Companion ayuda a los médicos a identificar, medir, caracterizar y cuantificar anomalías, lo que reduce el tiempo de interpretación en casos complejos de imágenes médicas. Y gracias a la flexibilidad de los procesadores Xeon Scalable, los centros médicos pueden usar el software tanto en la nube como en servidores locales.
La IA asiste, no reemplaza
Es importante subrayar que la IA no sustituye al juicio clínico humano. Los diagnósticos son responsabilidad del médico, y es el profesional quien valida las recomendaciones del sistema. Sin embargo, los resultados generados por IA son más consistentes que los de los técnicos humanos.
El 95 % de los contornos generados por IA son clínicamente aceptables, y la confianza del público también va en aumento.
Una encuesta realizada en 2023 a 1.027 personas en EE.UU. reveló que el 64 % confiaría en un diagnóstico por IA por encima de uno humano, cifra que sube al 82 % entre los jóvenes de la Generación Z, especialmente cuando se trata de análisis de imágenes médicas.
Además, el ahorro de tiempo que permite AI-Rad Companion libera a los técnicos para realizar otras tareas críticas y atender a más pacientes con el mismo personal.
Por qué es clave que los profesionales se familiaricen con la IA
Según Siemens Healthineers, más de 2 millones de estudios de imagen han sido procesados por AI-Rad Companion en hospitales y clínicas de todo el mundo¹. Sin embargo, su adopción generalizada aún es un reto.
Hoy, más de 1.000 algoritmos de IA están aprobados por la FDA², pero muy pocos son reembolsables por Medicare o Medicaid, y ninguna aseguradora privada cubre la asistencia por IA.
Esto limita el acceso a estas tecnologías innovadoras a los centros y pacientes que pueden costearlas. Por ello, Shen subraya la importancia de capacitar a los profesionales sobre el uso de estas herramientas y explicar por qué el algoritmo llega a sus recomendaciones.
Shen ha comparecido ante el Comité de Finanzas del Senado en 2024 y ante el Comité de Energía y Comercio de la Cámara de Representantes en 2023, solicitando una política de reembolso coherente que incentive la implementación de IA en el cuidado de la salud.
“Estamos dando pasos adicionales para que el gobierno federal y los pagadores reconozcan el impacto de la IA en la atención al paciente”, dijo Shen.
“Apoyamos activamente distintas vías, incluido el reembolso, para impulsar la adopción de la IA en el sector salud y garantizar el acceso equitativo a esta tecnología innovadora.”
¹ Datos de abril de 2024 (métricas internas de Siemens)
² Datos de diciembre de 2024. Más información: FDA – IA en dispositivos médicos



